Latest Articles and Images
Pachychoroid Spectrum and Central Serous Chorioretinopathy – Nomenclature
Central serous chorioretinopathy and the pachychoroid spectrum have become increasingly well-defined and widely recognized entities [...]
Traumatic Cataract Surgery with Sutured Capsular Tension Segment
This post presents a Traumatic Cataract Surgery with Sutured Capsular Tension Segments. A 58-year-old male [...]
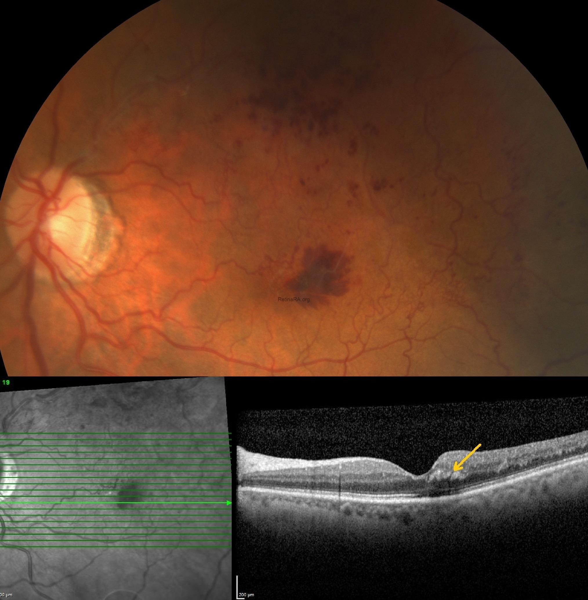
Traumatic Pigmentary Retinopathy (Presumed Demarcation Line of Spontaneous Resolved Retinal Detachment)
A 25-year-old female patient presented for refractive surgery evaluation. Best-corrected visual acuity was 20/20 in [...]
Ischemic vs Non-Ischemic Central Retinal Vein Occlusion
Central retinal vein occlusion (CRVO) may present as non-ischemic or ischemic CRVO. This distinction is [...]
Dense Deposit Disease
A 72-year-old patient presented with bilateral blurred vision. Best-corrected visual acuity was 0.1 in both [...]
Microcystic Macular Edema Secondary to Optic Neuropathy
A 71 year-old patient was referred to our attention because of a “macular dystrophy associated [...]
Gravitational tracks in chronic central serous chorioretinopathy: a multimodal imaging case
Patient history A 34-year-old male patient with a history of chronic central serous chorioretinopathy (CSC) [...]
Tightly Adherent Epiretinal Membrane (ERM)
This post presents a case of a tightly adhered epiretinal membrane and pre-existing retinal damage. [...]
Papilledema Secondary to Headache-free Idiopathic Chronic Intracranial Hypertension
A 43-year-old female patient presented with gradually progressive visual decline in both eyes. She denied [...]
Central Serous Chorioretinopathy – Choroidal Remodelling After Half-Fluence Photodynamic Therapy
A 48-year-old male patient presented to our clinic with complaints of decreased vision in both [...]
Malignant Hypertensive Retinopathy
A 42-year-old man presented to the emergency department with bilateral blurred vision accompanied by severe [...]
Doyne Honeycomb Retinal Dystrophy
A 58-year-old woman presented with complaints of bilateral decreased vision and dissatisfaction with her current [...]
