46-year-old female applied to outpatient clinic for routine eye examination and referred to retina department for evaluation of retinal findings. The BCVAs were 20/20 with mild hyperopic refractive errors for both eyes and IOPs were within normal imits. Anterior segment examinations were unremarkable.
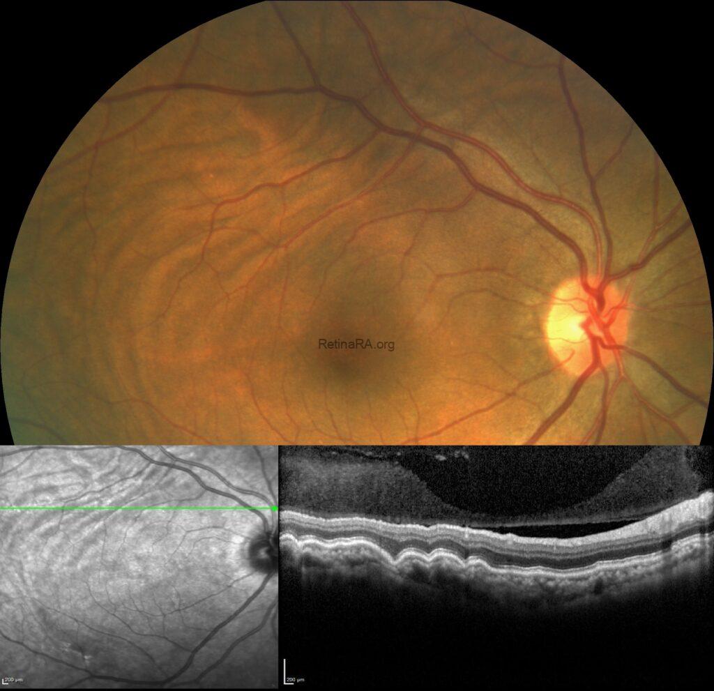
Fundus examination of both eyes revealed obliquely placed chorioretinal folds, primarily located at the supero-temporal and infero-temporal aspect of the arcades. The peripheral retina was normal.




Horizontal and vertical spectral domain optical coherence tomography scans passing through the folds demonstrated undulations of the choroid, RPE, and outer retina in both eyes.


Choroidal folds are clinical entities in which subretinal striae are seen at or around the posterior pole of the retina. Choroidal folds rarely extend beyond the equator and are associated with undulations of the inner choroid, Bruch’s membrane, overlying retinal pigment epithelium, and neurosensory retina. They are usually horizontal but can also be seen in an oblique, vertical, circumferential, or irregular pattern.
Choroidal folds are usually detected during routine ophthalmic examination, meaning that patients are asymptomatic. It has been suggested that choroidal folds form when Bruch’s membrane is forced into folds by choroidal expansion or swelling. Another proposed mechanism for choroidal folds is tension between the sclera and the choroid.
Although choroidal folds are usually idiopathic, they can be seen in a wide variety of ophthalmic and systemic conditions, ranging from hyperopia to infectious, neoplastic, inflammatory, infiltrative, or immunologic disorders; therefore, it is essential to distinguish the underlying condition. Regardless of the cause, long-standing choroidal folds can lead to retinal pigment epithelial atrophy, Bruch’s membrane damage or breaks, and eventually secondary choroidal neovascularization.
Credit: Kemal Tekin, M.D., from Ulucanlar Eye Training and Research Hospital
Instagram accounts: @retina.academy and @dr.kemaltekin

