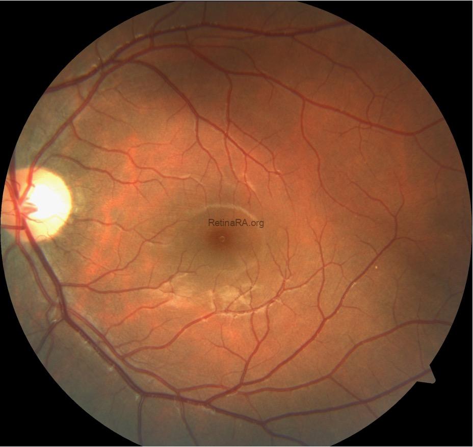
A previously healthy 19-year-old white, female patient presented with 1-week history of photopsia and blurred vision in her right eye. Ocular history was remarkable for myopia, and medical history was unremarkable. On the ocular examination, best corrected visual acuity was 2/20 and 20/20 in right and left eyes, respectively. There was no afferent pupillary defect, and IOP and visual fields were within normal limits in each eye. Anterior segment examination was unremarkable. Fundoscopic examination revealed foveal granularity and multiple, small whitish dots scattered throughout the posterior pole and the mid-periphery of the right eye.




OCT demonstrated attenuation of the ellipsoid and interdigitation zones in the right eye.


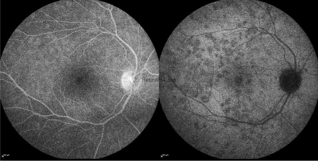
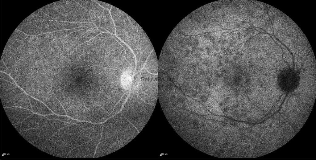
Fundus autofluorescence revealed a wreath-like configuration of hyper-autofluorescence around the optic nerve with numerous noncontiguous, smaller areas of hyper-autofluorescence throughout the macula and mid periphery.


FA also demonstrated a confluent area of hyperfluorescence centered around the optic nerve, which increased in intensity in the later frames. ICGA showed patchy hypofluorescent areas in the posterior pole and in the mid periphery.

MEWDS, which is a rare inflammatory eye condition affecting the outer retina as a consequence of choriocapillaris non perfusion, is generally self-limiting and presents as an acute unilateral condition predominantly in females, usually following a flu-like illness. The clinical diagnosis of MEWDS is confirmed by multimodal imaging, particularly a combination of ICGA, FAF, and SD-OCT, at baseline and during follow-up. Additional lesions not seen clinically or on FA may be seen on ICGA. The natural evolution of typical MEWDS is characterized by spontaneous resolution of fundus findings and recovery of visual function within several weeks.
Credit: Merve İnanç Tekin, MD, FEBO
Ulucanlar Eye Training and Research Hospital, Ankara, Turkey
Instagram accounts: @uveacademy and @merveinanctekin

