Choroidal osteoma complicated with CNVM
A 16-year-old male patient presented with decreased vision in his right eye. Best-corrected visual acuity [...]
Jun
Retinitis Pigmentosa
This was a 30-year-old female suffering from decreased vision and impairment of night vision and [...]
Jun
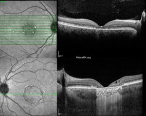
Female Choroideremia Carrier
A 35-year-old female patient presented to our clinic with no main chief complaint. Her past [...]
Jun
Autosomal Recessive Bestrophinopathy Misdiagnosed as X-linked Retinoschisis
A 14-year-old boy was referred for the evaluation of decreased vision in both eyes. He [...]
Mar
Choroideremia
A 41-year-old male patient diagnosed with choroideremia. Choroideremia is an X-linked hereditary dystrophy characterized by [...]
Feb
Frosted branch angiitis associated with chickenpox infection
A twelve-year-old boy presented with complaining of sudden visual loss in both eyes. His past [...]
Feb
Ocular Toxoplasmosis with Serous Retinal Detachment
A 23y old, female patient presented with decreased vision in her left eye. Best corrected [...]
Dec
FOVEOSCHISIS WITH GYRATE ATROPHY
An 17 year-old female patient presented with a complaint of sudden visual decrease and central scotoma [...]
Dec
Severe ABCA-4 Retinopathy
18-year-old girl with severe ABCA-4 retinopathy presenting with cone-rod dystrophy features. Both eyes had Visual [...]
Nov
Pigmented Paravenous Retinochoroidal Atrophy
This case was a 33-year-old male patient whose best corrected visual acuities were 20/25 for [...]
Nov
