Retinal Capillary Hemangioblastoma Associated With Von Hippel–Lindau Disease
A 30-year-old male presented with progressive vision loss in his left eye. His history was [...]
26
Nov
Nov
Racemose Hemangioma
Case Summary:A 35-year-old healthy female presented with longstanding unilateral visual decline in the left eye. [...]
30
Mar
Mar
Solitary Juxtapapillary Retinal Capillary Hemangioblastoma with Exudative Maculopathy
This was a 55-year-old woman who has a peripapillary mass in her right eye causing [...]
01
Mar
Mar
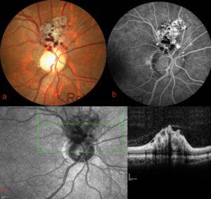
Retinal Cavernous Hemangioma
A 49-year-old female was referred to the retina clinic because of a peripapillary vascular tumor [...]
17
Aug
Aug
