A 16-year-old female patient was referred to our clinic by the pediatric neurology department due to complaints of severe headache. The patient did not report any visual impairment. Ophthalmological examination revealed Normal visual acuity (10/10) and normal color vision in both eyes. Anterior segment findings were unremarkable, and intraocular pressures were within normal limits. Fundus examination showed bilateral optic disc swelling with blurred margins in all four quadrants. Papilledema was diagnosed. A lumbar puncture performed by pediatric neurology confirmed elevated intracranial pressure (ICP).
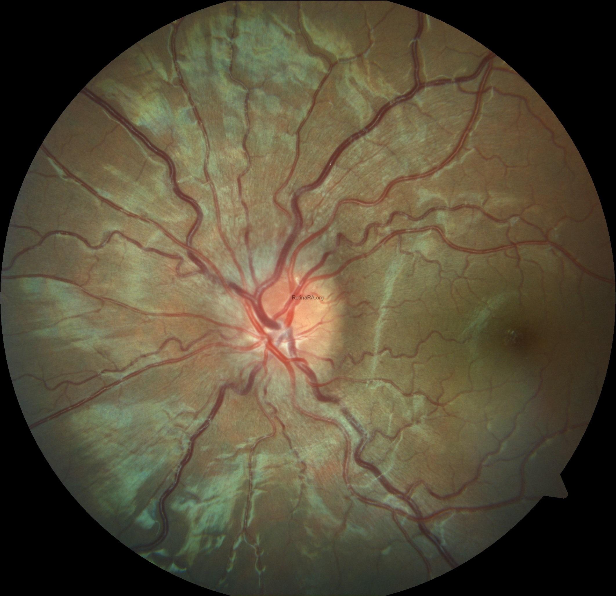
In Color Fundus Photography (the right and the left eye, respectively) the optic disc swelling is obvious, which appears as elevation of the disc with blurred margins in all quadrants. The optic nerve head exhibits hyperemia, and the physiological cup is obscured due to the edema. Venous congestion is observed, with dilated and tortuous retinal veins. In multicolor imaging papilledema can be seen as well (the right and the left eye, respectively).




OCT reveals diffuse thickening of the peripapillary retinal nerve fiber layer (RNFL), reflecting axoplasmic flow stasis due to elevated ICP. This RNFL thickening is usually bilateral and symmetrical, with maximal elevation commonly seen in the superior and inferior quadrants ((the right and the left eye, respectively).




Papilledema is optic disc swelling secondary to raised ICP and is typically bilateral. Unilateral disc edema suggests alternative diagnoses such as optic neuritis, anterior ischemic optic neuropathy (AION), Compressive optic neuropathy, or unilateral optic disc drusen. Treatment involves addressing the underlying etiology , such as: Idiopathic intracranial hypertension, weight loss, medical treatment like acetazolamid, or surgical interventins.
Credit: M. Giray Ersoz, MD, FEBO, Retina Specialist
Memorial Bahçelievler Hospital, Department of Ophthalmology, Istanbul, Turkey
Arel University School of Medicine, Department of Ophthalmology, Istanbul, Turkey
Instagram accounts: @retina.review and @retina.dr.girayersoz
Website: www.girayersoz.com.tr
and Sepideh Lotfi, MD
Biruni University School of Medicine, Department of Ophthalmology, Istanbul, Turkey
Instagram accounts: @sepidls

