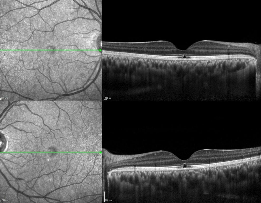
A 25-year-old man presented with acute bilateral central floaters and blurred vision in both eyes after staring directly at the sun for several minutes. The BCVAs were 20/25 in both eyes and the anterior segment examinations were normal. Amsler grid testing confirmed the bilateral central scotoma.
Dilated fundus examination revealed a small, yellow, round foveal lesion in both eyes.

Dilated fundus examination revealed a small, yellow, round foveal lesion in both eyes. Spectral domain optical coherence tomography (SD-OCT) scans demonstrated symmetric focal disruption of the subfoveal interdigitation and elipsoid zones in addition to underlying RPE, while the rest of the internal architecture is maintained.


Credit: Kemal Tekin, M.D., from Ulucanlar Eye Training and Research Hospital
Instagram accounts: @retina.academy and @dr.kemaltekin

