A 33 year-old healthy woman applied to the outpatient clinic routine eye examination. The patient does not have any systemic disease and family history revealed that her father and mother suffered from age-related macular degeneration. The BCVAs were 20/20 for both eyes and IOPs were within normal limits. Anterior segment examination was also unremarkable.
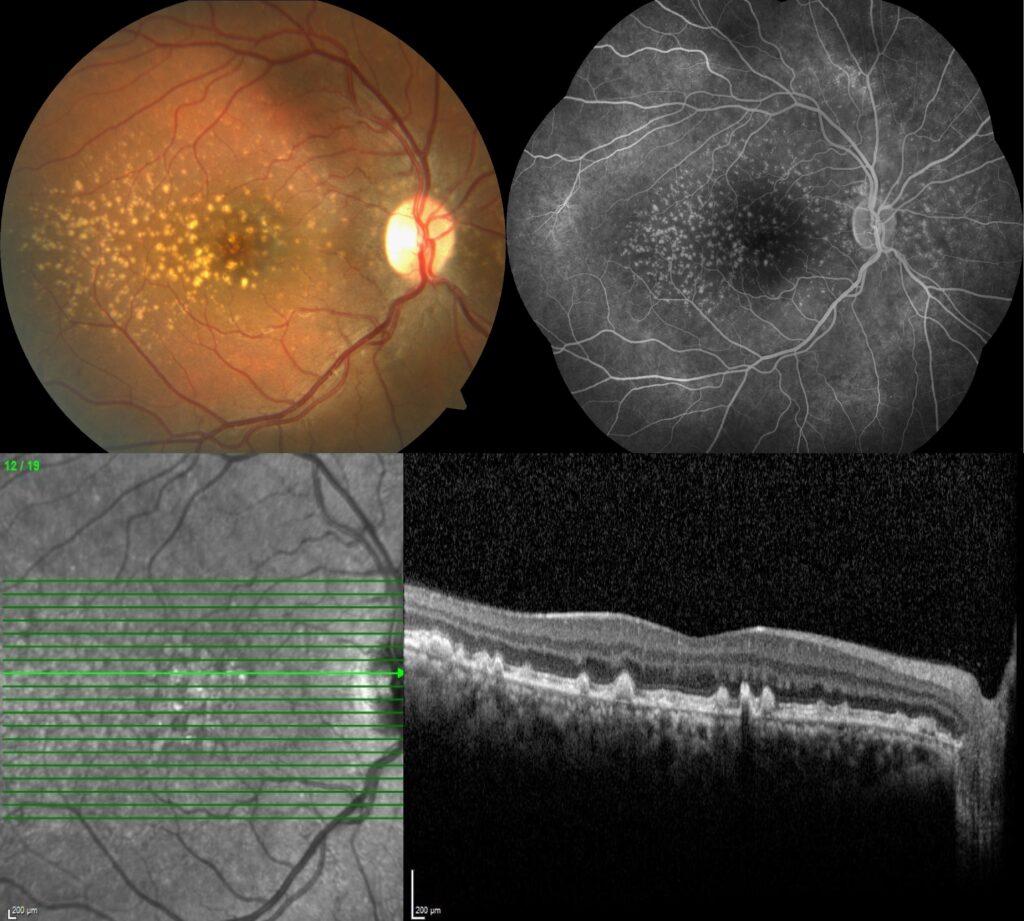
Fundus and composite fundus images of the right and left eyes showed bilateral, multiple, mostly symmetrical, circular, well-demarcated, yellow, round subretinal nodules randomly scattered in the macula and posterior pole.




Fundus fluorescein angiography revealed a greater number of small drusen than seen clinically which are spread diffusely throughout the macula, with a classic hyperfluorescence named as “stars in the sky” appearance.


Optical coherence tomography scans exhibited triangular elevations of the RPE-BL due to drusen beneath the RPE with the classical appearance of a “saw-tooth” pattern.



Fundus autofluorescence imaging demonstrated hyperautofluorescent circle and hypoautofluorescent center that is the result of central RPE erosion from triangular elevations of the RPE-basal lamina.


In the light of these multimodal imaging characteristics the diagnosis was Basal laminar drusen also termed “Cuticular drusen” or “Early adult onset, grouped drusen” which is present in approximately 10% cases with age-related macular degeneration (AMD). This drusen subpopulation shares several high-risk single nucleotide polymorphisms with AMD Aanf Multimodal imaging is essential for characterizing such lesions, using a combination of color fundus photographs, optical coherence tomography, fundus fluorescein angiography, and fundus autofluorescence.
Credit: Kemal Tekin, M.D., from Ulucanlar Eye Training and Research Hospital
Instagram accounts: @retina.academy and @dr.kemaltekin

