A 16-year-old male presented with a chief complaint of poor night vision since childhood. He also reported hearing impairment since childhood. There was no similar history in his sibling. The patient had no past medical or surgical history and denied any drug or substance abuse. His BCVA 20/200 in both eyes. IOPs were within normal limits. Biomicroscopy was also unremerkable.
Fundus images showed mildly attenuated retinal vessels, widespread bone spicule–like pigmentary changes in the midperipheral retina and abnormal foveal reflex in both eyes.


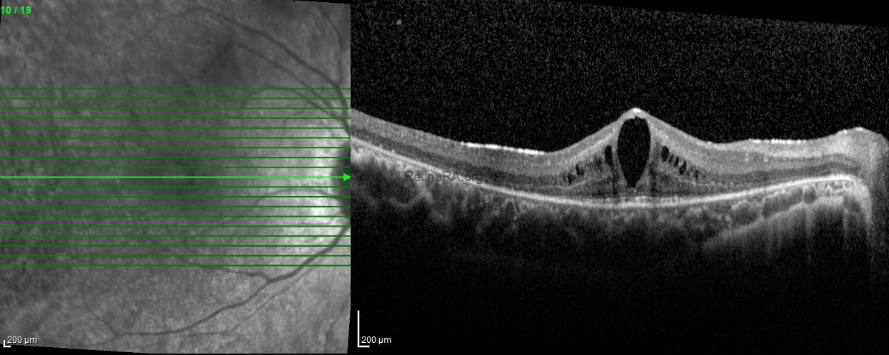
Optical coherence tomography scans revealed decreased thickness of the outer nuclear layer, along with loss of the external limiting membrane and ellipsoid zone in both eyes, sparing the fovea. Hyporeflective cystoid spaces were also observed in both eyes.


Full-field electroretinography demonstrated markedly reduced scotopic and photopic responses in both eyes.
Pure tone audiometry, performed due to the patient’s hearing complaints, indicated sensorineural hearing loss.
A clinical diagnosis of Usher syndrome was made based on the history (poor night vision and hearing impairment since childhood), clinical findings (peripheral vision loss, mid-peripheral bony spicules, and arteriolar attenuation), and investigative results (optical coherence tomography, electroretinography, and pure tone audiometry).
Usher syndrome is an autosomal recessive disorder combining congenital sensorineural hearing loss with progressive retinal degeneration (retinitis pigmentosa). Fundus findings typically include bone spicule pigmentation, arteriolar attenuation, and optic disc pallor. Optical coherence tomography often reveals thinning of the outer retinal layers with loss of the ellipsoid zone, sparing the fovea in early stages. Full-field electroretinography demonstrates markedly reduced or extinguished scotopic and photopic responses. Early recognition allows appropriate genetic counseling, auditory rehabilitation, and multidisciplinary management.
Credit: Kemal Tekin, M.D., from Ulucanlar Eye Training and Research Hospital
Instagram accounts: @retina.academy and @dr.kemaltekin

